Röntgendiagnostik gibt Prognose für COVID-Pneumonie
- Details
- Kategorie: Panorama
- | filterVERLAG
© UKR / Kamerafoto / sonstige
Das neuartige Coronavirus legt das Leben immer noch weitgehend lahm. Doch die Medizin lernt täglich dazu. Mittels Computertomographie lassen sich heute Prognosen über den Verlauf einer durch COVID-19 ausgelösten Lungenentzündung erstellen.
SARS-CoV-2 legt das öffentliche Leben weiterhin lahm. Doch anders als am Beginn der Pandemie sind die Ärzte und Wissenschaftler nun besser auf die speziellen Anforderungen, die das Virus an die Medizin stellt, vorbereitet. Durch den gezielten Einsatz der Computertomografie (CT) unterstützt das Institut für Röntgendiagnostik des Universitätsklinikums Regensburg (UKR) die behandelnden Intensivmediziner und kann anhand der Bilder eine Prognose über den Schweregrad des vom Coronavirus SARS-CoV-2 ausgelösten Lungenentzündung (Pneumonie) erstellen. Denn die Radiologische Bildgebung kann pandemische Lungeninfektionen erkennen, bewerten, messen und nachverfolgen.
Es war und ist zum Teil noch immer eine große Unbekannte. Was auf einem Markt im chinesischen Wuhan begann, hat sich rasend schnell zu einer globalen Pandemie entwickelt. Nun, ein Jahr später, hält das Coronavirus SARS-CoV-2 die Welt weiter fest umklammert. Über 2,6 Millionen Menschen haben durch das Virus ihr Leben verloren, und es versterben weiterhin täglich Menschen an den Folgen einer COVID-Pneumonie.
CT und Röntgen als Unterstützung der COVID-Diagnosestellung
Während die erste Welle Politik, Bevölkerung und Mediziner gleichermaßen überraschte, hat sich seitdem gerade das Instrumentarium für die Diagnosestellung und Nachverfolgung einer COVID-19-Erkrankung rasant weiterentwickelt. Einen wichtigen Baustein dazu liefern die Computertomografie und die Röntgendiagnostik. „In der ersten Welle waren die PCR-Tests noch fehleranfällig und langsamer. Da sich die COVID-19-Pneumonie mit einem relativ typischen Bild in der Lunge äußert, konnten wir mit der Röntgenthoraxaufnahme und Computertomografie helfen, die Erkrankung schnell zu diagnostizieren und gleichzeitig das Ausmaß der Lungenbeteiligung zu bestimmen. Inzwischen sind die Tests drastisch verbessert, so dass sich die Aufgabe der Bildgebung verändert hat. Wir konzentrieren uns jetzt auf die schwerer erkrankten Patienten, da wir gelernt haben, wie wir mit der Bildgebung einen Beitrag zur Prognoseabschätzung leisten können. Zudem können wir Komplikationen wie eine Lungenembolie erkennen“, erklärt Professor Dr. Okka Hamer, Leiterin der Kardiopulmonalen Bildgebung des Instituts für Röntgendiagnostik des Universitätsklinikums Regensburg. Die Spezialisten des Instituts befassen sich schon seit Beginn der Pandemie intensiv mit dem gezielten Einsatz von Thorax-CT und Thorax-Röntgen. Auch der erste bundesweit komplett dokumentierte Fall wurde von Professor Hamer und ihrem Team publiziert. Dabei handelt es sich um die erste befundete Fallanleitung unter Berücksichtigung aller medizinischen Begleitumstände.
Erfahrungen aus China zeigten, dass auch bei einem negativen PCR-Test und bei typischen klinischen Symptomen die Thorax-CT schon im frühen Stadium einer COVID-19-Erkrankung pneumonische Verdichtungen zeigen kann, die suggestiv für eine COVID-19-Pneumonie sind. „Wir können einen entscheidenden Beitrag zum klinischen Management der Behandlung leisten“, sagt Professor Dr. Christian Stroszczynski, Direktor des Instituts für Röntgendiagnostik des UKR.“ Gerade die CT-Bildgebung hilft uns hier sehr. Durch neue Techniken können wir die Strahlendosis drastisch reduzieren, so dass die Belastung kaum größer ist als bei einer Röntgenthoraxaufnahme. Das UKR hat für die Befundung von COVID-19-Patienten eigens ein modernes Multislice CT von der Bayerischen Staatsregierung zugeteilt bekommen. „Dank diesem hochauflösenden CT können wir nun noch besser infektiöse und immunvermittelte Entzündungen in der Lunge erkennen“, so Professor Stroszczynski weiter.
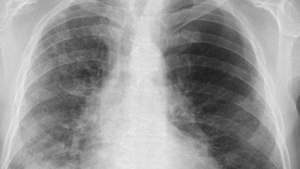
Anzeichen für eine COVID-19-Pneumonie in der Bildgebung
Eine COVID-19-Pneumonie äußert sich häufig durch ein Mischbild aus sogenanntem Milchglas und Konsolidierungen in der Lunge. Zusätzlich kann, insbesondere in späteren Stadien der Erkrankung, ein „Crazy Paving“, eine durch glatt berandete Retikulationen überlagerte Milchglastrübung, auftreten. „Diese Verdichtungen finden sich bilateral und multifokal in den Mittel- und Unterfeldern der Lunge“, so Professor Hamer. „In Abgrenzung zu Pneumonien, die von anderen Erreger verursacht werden, fällt auf, dass die COVID-19-Pneumonie vor allem die Peripherie der Lunge befällt und zumindest anteilig scharf berandet ist, das ist ungewöhnlich.“
Beurteilung und Nachbehandlung von Long-COVID- bzw. Post-COVID-Fällen
Aufgrund der relativ kurzen Zeitspanne seit dem Beginn der Coronavirus-Pandemie, ist es besonders wichtig, möglichst viele Erkenntnisse aus den Aufnahmen der bisher behandelten COVID-19-Patienten zu gewinnen. „Im Augenblick beschäftigen uns aber nicht nur die akut erkrankten Patienten, sondern auch solche, die in der ersten Welle erkrankt waren und immer noch unter zum Teil sehr einschränkenden Langzeitfolgen leiden“, weiß Professor Hamer. „Wir erforschen dieses sogenannte Long-COVID-Syndrom in enger Zusammenarbeit mit den Pneumologen. Dabei gilt es viele Fragen zu beantworten wie etwa: „Findet sich bei den Betroffenen ein bildgebendes Korrelat in der Lunge? Können wir hierfür schon in der akuten Phase Hinweise finden? Wie können wir den Patienten helfen?“
Bundesweites universitäres Netzwerk zur Standardisierung von Befundschemata
Um das bewerkstelligen zu können, haben sich unter dem Dach des „Netzwerks Universitätsmedizin“ (NUM) alle Radiologischen Kliniken und Abteilungen der 34 deutschen Universitätsklinika zum Radiological Cooperative Network zur COVID-19-Pandemie (Racoon) zusammengeschlossen. Ziel von Racoon ist eine strukturierte Erfassung radiologischer Daten von COVID-19-Fällen. Das dient zum Datenvergleich, als Entscheidungsgrundlage für epidemiologische Studien, als Lageeinschätzung, als Frühwarnmechanismus wie auch zur Unterstützung bei der Entwicklung Künstlicher Intelligenz (KI) in der Röntgendiagnostik, der Automatisierung diagnostischer und bildverarbeitender Schritte. „Wir können so in einem großen Pool alle Daten, natürlich anonymisiert und datenschutzkonform, sammeln und auswerten; ein solches konzertiertes Vorgehen ist einmalig und sicher auch wegweisend für zukünftige Herausforderungen“, ist Professor Hamer von der Zusammenarbeit der Universitätsmedizin überzeugt.
Doch nicht nur bundesweit bringt sich das UKR in die Forschungsarbeit rund um die Erkennung und Auswertung von COVID-19-Pneumonien sowie der daraus resultierenden Super-Infektionen und Lungenembolien ein. „In Regensburg arbeiten wir eng mit den in der Stadt ansässigen Krankenhäusern unterschiedlicher Versorgungsstufen sowie mit der Lungenfachklink in Donaustauf zusammen. Dies ermöglicht es uns, die Erkrankung in verschiedenen Stadien umfassend zu untersuchen“, sagt Professor Stroszczynski. Während am UKR nur schwerstkranke, zum großen Teil ECMO-pflichtige COVID-19-Patienten versorgt werden, liefern die wissenschaftlichen Kooperationskliniken Daten von weniger schweren Verlaufsformen der Erkrankung bzw. von der Zeit nach einer schweren Erkrankung und der Rehabilitationsphase. Dazu wurde am UKR ein eigenes spezielles Befundschema entwickelt, welches, durch aktuelle Daten gespeist, immer wieder weiterentwickelt wird und auch anderen Kliniken zur Verfügung gestellt wird und selbstverständlich auch in Racoon einfließt. Dieses Zusammenspiel in der Long-COVID-Forschung auf regionaler wie auf Bundesebene sichert quantitativ wie qualitativ das wissenschaftliche Arbeiten sowie in erster Linie die Versorgung der Patienten mit einer SARS-CoV-2-Infektion.
Bildquelle:
Kamerafoto / sonstige |
UKR